Scaling and Polishing

The Importance of Dental Cleaning: More Than Just Appearance

Contrary to popular belief, Dental cleaning benefits everyone, not just those concerned with their appearance. Scaling and polishing of teeth provide significant health benefits, making them essential for most people.

What is Teeth Cleaning?

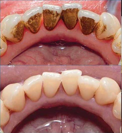
Plaque and tartar often accumulate on your teeth and gum line, which normal brushing or flossing cannot remove. Dentists use ultrasonic devices to eliminate these deposits, cleaning your teeth and preventing cavities.

Why is it Necessary?

Plaque, a sticky layer, constantly forms on your teeth. Daily flossing and brushing can remove plaque, but if left unchecked, it hardens into tartar—a mineral deposit layer that regular brushing can't remove. At this stage, professional scaling is necessary to remove the tartar and prevent cavities.

How Often Should You Get It Done?

Your dentist will recommend the frequency of teeth cleaning based on your oral health. Generally, twice a year is recommended, but if you maintain excellent oral hygiene, once a year might suffice.

How is It Done?

Ultrasonic scalers are commonly used for scaling. These devices have a handpiece with various tips suited to different types of tartar. The tips vibrate rapidly, removing tartar and stains from the tooth surface.

Will It Be Painful? Will There Be Bleeding?

If only superficial tartar is present, the procedure may not be painful. For deeper deposits, local anesthesia may be used. Slight bleeding can occur as inflamed gums are touched during the process.

Common Myths About Teeth Cleaning

“Teeth become loose after the procedure.”

This is a myth. Teeth may seem loose after the procedure if you have periodontal disease, but this is not due to the cleaning itself. Tartar can give a false sense of stability, and removing it may make teeth feel loose.

Addressing Gum Disease

For early-stage gum disease, scaling might be sufficient. However, advanced gum disease, such as periodontitis, may require additional treatment. Regular scaling and polishing help maintain a brighter and healthier smile.

Benefits of Teeth Scaling and Polishing
  • Brighter Teeth: Removing plaque and tartar makes teeth whiter and shinier.
  • Reduced Gum Disease Risk: Scaling reduces calculus formation and the risk of gum disease.
  • Improved Oral Health: Professional cleaning helps maintain overall oral health by preventing gum disease.

In conclusion, regular teeth cleaning through scaling and polishing is crucial for maintaining oral health and preventing Dental issues. Consult your dentist to determine the appropriate frequency for your Dental cleanings.