Tooth Extraction/Tooth Removal

Tooth Removal (Extraction)

Tooth removal, or extraction, is a common Dental procedure performed to address various Dental issues.

Tooth removal with the help of Dental Forceps

What is Tooth Removal?

Tooth removal, also known as Dental extraction, involves the removal of a tooth from its socket in the bone. This procedure is typically performed by a dentist or oral surgeon.

Reasons for Tooth Removal

1. Severe Decay: When tooth decay reaches the pulp and causes infection that cannot be treated with a root canal.

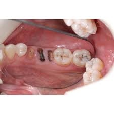
Root piece of lower teeth which needs to be Extracted

2. Gum Disease: Advanced periodontal disease can loosen teeth and necessitate removal.

Severe Gum disease leading to Loosening of teeth.

3. Impacted Teeth: Teeth, often wisdom teeth, that are unable to emerge properly can cause pain and alignment issues.

Impacted Lower Wisdom Teeth

4. Overcrowding: Removing a tooth can create space for proper alignment, often as part of orthodontic treatment.

Overcrowded Teeth

5. Trauma: Teeth damaged beyond repair by injury.

Accident leading to loss of teeth

6. Infection: Severe infections that do not respond to antibiotics may require extraction.

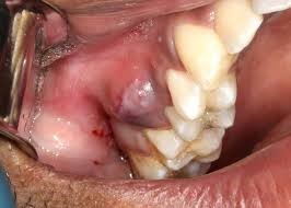
Pus formation in Upper teeth

Types of Tooth Removal

1. Simple Extractions: Performed on visible teeth, usually under local anesthesia.

2. Surgical Extractions: More complex procedures for teeth that are not easily accessible, requiring an incision in the gum.

The Procedure

1. Consultation and Examination: The dentist examines the tooth and surrounding structures, often using X-rays.

2. Anesthesia: Local or general anesthesia is administered to ensure that the desired area is Numb.

3.Extraction: The dentist uses specialized tools to loosen and remove the tooth.

4. Post-Extraction Care: Instructions are provided for pain management, preventing infection, and ensuring proper healing.

Post-Extraction Care

Pain Management: Use prescribed or over-the-counter pain relievers.

Bleeding Control: Bite on gauze to reduce bleeding and encourage clot formation.

Swelling Reduction: Apply ice packs to the affected area.

Dietary Adjustments: Stick to soft foods and avoid using a straw to prevent dry socket.

Oral Hygiene: Maintain oral hygiene while being careful around the extraction site.

Benefits of Tooth Removal

Alleviates pain and infection.

Prevents the spread of decay or disease to adjacent teeth.

Improves overall oral health and function.

Risks and Considerations

Potential for infection.

Possibility of dry socket.

Need for replacement options like implants, bridges, or dentures.

Providing clear, concise, and reassuring information can help patients understand the tooth removal process and its importance for maintaining Dental health.